AUTISM SPECTRUM DISORDERS
Autism is a developmental disorder and one form of a group of neurological conditions described as autism spectrum disorders (ASD's). These conditions are characterized by some degree of impaired language and communication, and repetitive or restrictive patterns of thought and behavior. Other ASD's include Asperger's disorder (AD), Rett syndrome (RS), childhood disintegrative disorder (CDD), and pervasive developmental disorder, not otherwise specified (PDD-NOS). Autism was first described in 1943 by Dr. Leo Kanner, a psychiatrist at Johns Hopkins University. Even then, Dr. Kanner described immune and digestive problems but did not include them in the diagnosis. Back then, autism was rare but today it is an epidemic. At least 1.5 million children are affected by autism.
Autistic children have trouble communicating, find it difficult to socialize with peers, and exhibit repetitious behaviors. Symptoms of autism tend to appear around the age of 18 months. Most distinguishing with AD is a child's obsessive interest in a single object or topic to the exclusion of any other. They exhibit clumsy and uncoordinated motor movements. Their walk can appear stilted or bouncy. Children with AD tend to be isolated because of their poor social skills and narrow interests. Children with CDD appear to develop normally until around 2-3 years of age when they begin to deteriorate in their developmental skills. Abnormal brainwave activity and seizures may frequently be found. It is very rare and little is known about it other than it appears to be a neurobiological condition. Symptoms of CDD are very similar to autism and misdiagnosis is common. Unlike autism, RS occurs primarily in girls. Children with RS are usually born healthy and show an early period of normal or near normal development until 6-18 months of life, when there is a slowing down or stagnation of skills. A period of regression then follows when they lose communication skills and purposeful use of her hands and slowing of the normal rate of head growth becomes apparent. Soon, stereotyped hand movements and gait disturbances are noted. Other problems may include disorganized breathing patterns which occur while awake and seizures. There may be a period of isolation or withdrawal when irritable and they may cry inconsolably. Over time, motor problems may increase, while interaction and communication, especially with eye gaze, seizures, and irregular breathing may improve. Apraxia (dyspraxia), impairment in the ability to perform motor movements, is the most fundamental and severely handicapping aspect of RS.
ASD's may be related to gene variants (polymorphisms) that can be activated by environmental triggers (stressors). Activated genes may disrupt normal functions in the body and lead to chronic inflammation and disruption of the brain, digestive system, and immune system. In autistic boys, there appears to a gene on chromosome 17, called 17q21, that raises the risk of autism. Autism occurs much more frequently in boys than girls. One variant of the of a gene called MET doubles the risk of autism. MET also modulates the nervous system, digestive system, and immune system. Also, the older the father the higher the risk of a child developing autism. RS is caused by a mutation in the MECP2 gene on the X chromosome which is why it is almost exclusively found in females.
Autism was once viewed as a genetic based brain disorder but is viewed now as more of a immune and neuro-inflammatory condition. There is growing evidence that low dose, multiple exposures to toxic and/or infectious agents (stressors) may be a major contributing factor. Contributing factors range from vaccine reactions, food allergies, atypical growth in the placenta, digestive abnormalities, inflammation in the brain, and disturbances in brain waves. Immune disorders appear to be a significant component of ASD's. Immune blood cells of autistic children appear to provide less protection from bacterial compounds than those of normal children. There is a significant reduction in immunoglobins and an abnormal cytokine profile which are important components in immune responses. Though there is no conclusive evidence to prove a link between vaccinations and autism, many symptoms tend to show themselves around the time they receive vaccinations. Mercury, a heavy metal toxin found in some vaccines, has been suspected of contributing to symptoms of autism. Other heavy metals from various sources may also play a role in symptoms of ASD's and are being researched. Chelation therapy is being studied as a viable treatment for ASD's in children who exhibit signs of exposure to these toxins.
Improvements in symptoms of children with ASDs are often noted when they must fast for laboratory blood work. Symptoms then return once they resume eating again after the tests are performed. This suggests that at least some of the symptoms may be associated with some type of metabolic encephalopathy. Glutathione is the cell's most abundant antioxidant and is crucial for removing toxins. When cells lack antioxidants, they experience oxidative stress, which is found with chronic inflammation. Nutritional supplements, such as B-12 (methyl form), trimethylglycine, folinic acid, and inclusion of antioxidant supplements and foods in the diet may produce significant improvements in ASDs. Mitochondrial dysfunction is also a factor in many children with ASDs. Supplements like CoQ10, magnesium, and acetyl-L-carnitine help to stabilize the mitochondria and increase production of ATP thereby decreasing free radical formation and depletion of glutathione. Toxins that may be found in foods include heavy metals, pesticides, and countless synthetic food additives. Food and environmental allergies must be evaluated and dietary restriction put into place such as restricting gluten (found in wheat and other grains) and dairy.
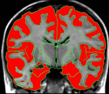
Yellow region of brain shows the enlarged white matter of an autistic brain. The red regions show the grey matter which is smaller in autistic children.
Green color reveals astroglial cell inflammation in the brain of an autistic child. The microglial cells (brown) are shown infiltrating the cerebellum of an autistic child. Blue cells are granular cells. Microglial cells "eat" (phagocytic) when there is neural damage or inflammation. The cerebellum is a major part of the brain that plays a significant role in motor function. Granular cells are a specific type of white blood cell which are part of the immune system.
 
             
             
             
             
            